Zabiegi medycyny estetycznej, którym poddają się pacjenci w Klinice Lighthouse nie tylko rewitalizują zewnętrzną warstwę skóry, lecz również przywracają wewnętrzną równowagę, sprzyjając pełniejszemu i bardziej zadowalającemu życiu. Nasze doświadczenie i profesjonalizm gwarantują, że każdy pacjent doświadcza kompleksowej odmiany, podkreślając swoje unikalne piękno i przywracając wewnętrzną harmonię. Dzięki nowoczesnym procedurom, które stosujemy w Klinice nasi pacjenci doświadczają niezwykłej metamorfozy, której rezultaty są naturalne i zarazem niezwykłe dla samych pacjentów. Starannie dobranymi protokołami przywracamy nie tylko młodzieńczy wygląd, osiągamy redukcję widoczności zmarszczek czy poprawę elastyczności i tekstury skóry. Zabiegi, którym poddajemy naszych pacjentów sięgają znacznie głębiej, wpływając pozytywnie na pewność siebie i ogólne samopoczucie. Poznaj historie metamorfoz, które odbyły się do tej pory w naszej Klinice Lighthouse w Szczecinie.
Korekta konturu ust - kształt i powiększenie

Czy wiesz, że zaledwie 1 ml kwasu hialuronowego może zdziałać cuda? Zmęczenie nie musi być widoczne na Twojej twarzy! Dzięki zaawansowanym technikom zabiegowym, możesz pożegnać się z oznakami zmęczenia i przywrócić swojej skórze świeżość oraz blask. Zapomnij o smutnych wyrazach twarzy – z nami Twoja skóra zyska nowe życie! Skorzystaj z możliwości, jakie daje kwas hialuronowy i przekonaj się, jak dużo może zmienić nawet mała ilość tego cudownego składnika. Nasz zespół specjalistów jest gotowy, aby pomóc Ci osiągnąć wygląd, który zawsze chciałeś mieć.
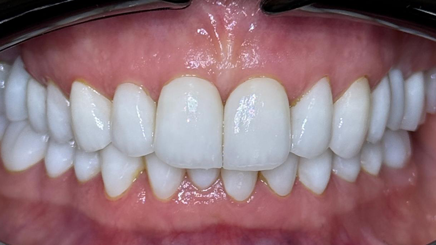
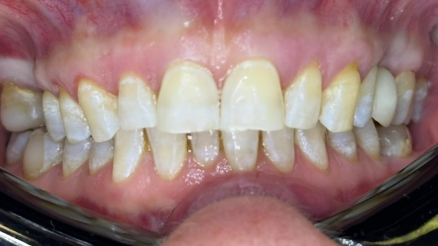
Kompleksowa odbudowa zgryzu

Kompleksowa odbudowa zgryzu łącząca leczenie ortodontyczne, fizjoterapeutyczne, implantologiczne oraz protetyczne pod postacią koron i licówek ceramicznych.
Full Face

U pacjentki wykonano 3 etapowy kompleksowy plan zabiegowy w celu poprawy jako
Lorem Ipsum 2

Lorem ipsum dolor sit amet, consectetur adipiscing elit, sed do eiusmod tempor incididunt ut labore et dolore magna aliqua. Ut enim ad minim veniam, quis nostrud exercitation ullamco laboris nisi ut aliquip ex ea commodo consequat. Duis aute irure dolor in reprehenderit in voluptate velit esse cillum dolore eu fugiat nulla pariatur. Excepteur sint occaecat cupidatat non proident, sunt in culpa qui officia deserunt mollit anim id est laborum.
Lorem Ipsum 3

Lorem ipsum dolor sit amet, consectetur adipiscing elit, sed do eiusmod tempor incididunt ut labore et dolore magna aliqua. Ut enim ad minim veniam, quis nostrud exercitation ullamco laboris nisi ut aliquip ex ea commodo consequat. Duis aute irure dolor in reprehenderit in voluptate velit esse cillum dolore eu fugiat nulla pariatur. Excepteur sint occaecat cupidatat non proident, sunt in culpa qui officia deserunt mollit anim id est laborum.
Lorem Ipsum 4

Lorem ipsum dolor sit amet, consectetur adipiscing elit, sed do eiusmod tempor incididunt ut labore et dolore magna aliqua. Ut enim ad minim veniam, quis nostrud exercitation ullamco laboris nisi ut aliquip ex ea commodo consequat. Duis aute irure dolor in reprehenderit in voluptate velit esse cillum dolore eu fugiat nulla pariatur. Excepteur sint occaecat cupidatat non proident, sunt in culpa qui officia deserunt mollit anim id est laborum.
